1
/
of
2
ORANGE COAST TELERADIOLOGY
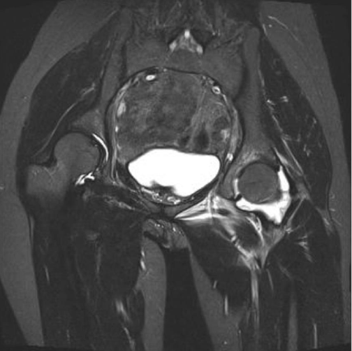
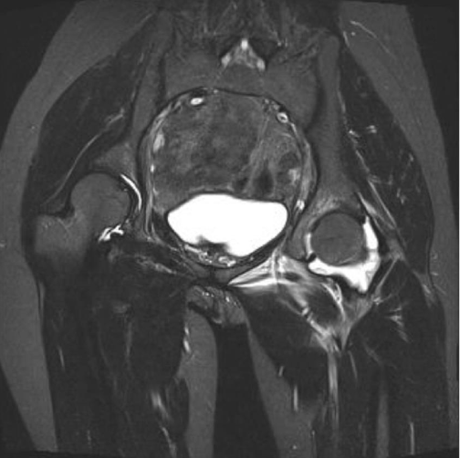
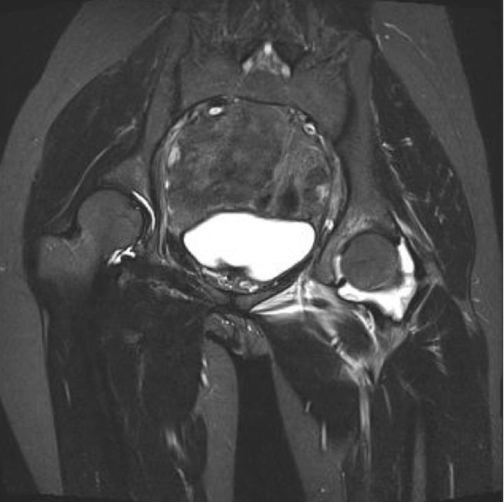
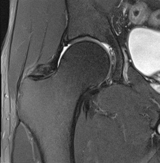
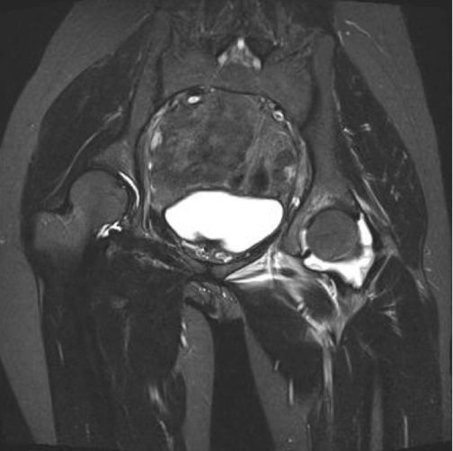
MRI FEMUR
MRI FEMUR
Regular price
$0.00 USD
Regular price
Sale price
$0.00 USD
Quantity
Couldn't load pickup availability
Share
