1
/
of
5
Octelerad
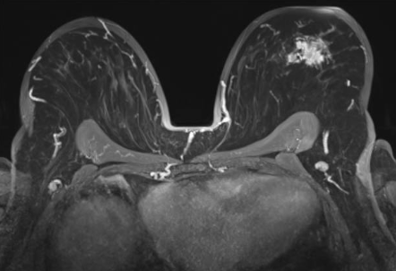
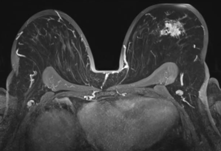
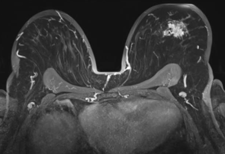
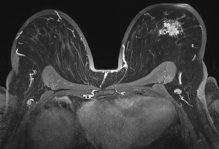
MRI BREASTS
MRI BREASTS
Regular price
$1,000.00 USD
Regular price
Sale price
$1,000.00 USD
Quantity
Couldn't load pickup availability
Share
